RU.Malim.kz
ЧП

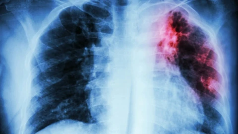
Шестиклассник с открытой формой туберкулеза ходил в школу в СКО

Malim kz

В Северо-Казахстанской области у школьника открытая форма туберкулёза: родители просят дистанционку, но школу не закрывают, сообщает Malim.kz со ссылкой на pkzsk.info.

В селе Новоишимское Северо-Казахстанской области у шестиклассника средней школы № 1 выявлена открытая форма туберкулёза. Ребёнок госпитализирован, в образовательном учреждении проведена дезинфекция и продолжается медицинское обследование всех контактных. Родители обеспокоены и просят временно перевести детей на дистанционное обучение, однако школа продолжает работать в обычном режиме.

Как стало известно, заболевший мальчик уже проходил лечение от туберкулёза в 2021-2022 годах. Новый случай — это рецидив.

"12 мая в департамент поступило экстренное извещение из районного управления о том, что выявлен случай заболевания туберкулёзом у ученика 6 класса Новоишимской школы № 1, — сообщил заместитель руководителя департамента санитарно-эпидемиологического контроля Северо-Казахстанской области Арман Кушбасов. — Это рецидив. В 2021 году ребёнок заболел, в 2022 году завершил лечение. Но поскольку в лёгких оставались изменения, риск повторного заболевания сохранялся".

Сразу после получения сообщения в школе и по месту жительства была проведена заключительная дезинфекция.

По словам Армана Кушбасова, определён круг контактных лиц — более 1000 человек. Все они взяты под медицинское наблюдение.

"Детям проводят реакцию Манту, подросткам старше 15 лет и взрослым — флюорографию. В классе уже обследованы 17 человек. Через три дня проанализируют снимки, после чего станут известны предварительные результаты, — пояснил заместитель руководителя областного департамента санитарно-эпидемиологического котнроля. — Контактные наблюдаются от нескольких месяцев до 2 лет в зависимости от индивидуальных показателей. Главное — не отказываться от обследования".

Фото: gesund.bund.de

Malim kz
Социальные и общественные новости Казахстана
Автордың басқа материалдары →